Menu
Wróć do listy artykułów

Genistein Supplementation and Bone Health in Breast Cancer in Rats

Autor: Arkadiusz Opublikowano: 07.04.2026

Genistein Supplementation and Bone Health in Breast Cancer in Rats

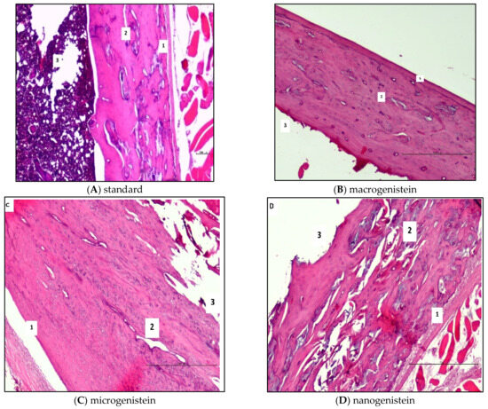
The aim of our study was to analyse the effect of supplementation with various forms of genistein (nano-, micro-, and macro-) on the mineral status of rat femurs in conditions of DMBA-induced mammary gland neoplasia. Thirty-two 30-day-old Sprague Dawley rats were used in the study. The rats were divided into four experimental groups: a control group (without supplemen-tation) and groups supplemented with nanosized (92 ± 41 nm), microsized (587 ± 83 nm), and macrosized genistein.

Micromorphometric and histological examination of the rat femurs were performed, as well as analysis of the weight and mineral composition (17 elements). Quadrupole ICP-MS was used for analysis of all trace elements.

Supplementation with genistein (nano-, micro-, and macro-) was shown to cause changes in the mineral composition of the bones. In the rats receiving nanogenistein, disintegration of the bone tissue was observed. The femurs of these animals had higher content of calcium (by nearly 300%) and potassium (by 25%) than the other groups, while the level of magnesium was about 22% lower. In the case of microelements, there were increases in copper (by 67%), boron (48%), manganese (13%), and nickel (100%), and a 16% decrease in strontium compared to the bones of rats without genistein supplementation.

 

Changes in micromorphometric parameters, resulting in increased bone fragility, were observed. Administration of genistein was found to have an effect on the amount of trace elements in the bone tissue of rats with breast cancer.

Dowiedź się więcej o realizowanych przez nas projektach oraz o gamie usług, jakie oferujemy.

Skontaktuj się z nami GO GO